当地时间2024年8月31日,在欧洲心脏病学会(ESC)年度大会上,一例由中南大学湘雅二医院周胜华教授团队提供的题为“Intimal tear of ascending aorta caused myocardial infarction”的病例在大会进行了报告,并引起了参会者的热烈讨论。

图1. 周胜华教授团队黄亿源博士代表医院MDT团队在大会现场报告
在急性心梗患者中,急性主动脉A型夹层累及冠脉开口致使心肌缺血坏死的情况时有发生。主动脉内膜撕裂目前认为是一种主动脉夹层发生的早期阶段,提示有内膜片的撕裂但并未累及中膜尚未形成明显夹层,这种情况少见且临床难以发现,往往容易漏诊或误诊。目前尚未见内膜撕裂引发急性心梗的文献报道。果不其然,这种临床极易被忽视的少见情况竟然真的给湘雅二医院多学科团队制造了困境甚至是“陷阱”。
一、“元凶”,主动脉瓣严重返流是升主动脉夹层还是心内膜炎赘生物所致?
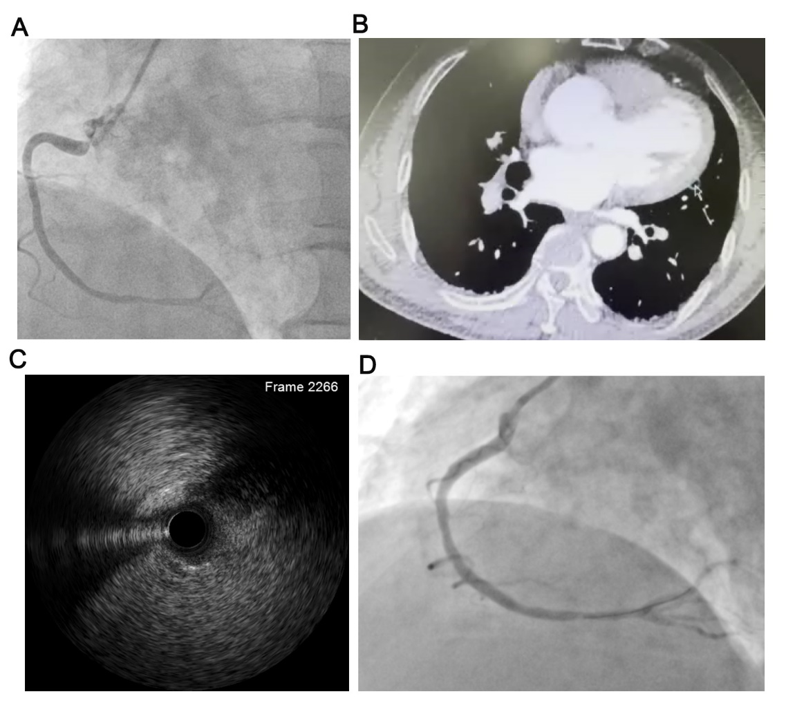
当时50多岁的符某某因持续胸痛来湘雅二医院急诊就诊,结合心电图提示为急性下壁心梗,医院胸痛中心快速反应,启动导管室进行急诊冠状动脉造影时发现升主动脉扩张、主动脉瓣返流,且难以找到右冠状动脉开口,急诊术者怀疑升主动脉夹层遂急诊行主动脉CTA检查,检查结果提示未见明确主动脉夹层。由于患者持续胸痛,便迅速再次返回导管室并尝试各种方法终于找到了右冠状动脉开口,造影提示开口严重狭窄,远端血流不佳,建立导丝轨道后行血管内超声检查,除了发现少量斑块外还可见右冠开口有明显受压迫表现,但并未见到斑块破裂及血栓征象。为保障血流,于右冠开口成功植入一枚支架。患者回病房后出现发热、心衰加重,并发生急性脑梗,心脏超声示主动脉瓣返流加重同时提示瓣膜表面赘生物可能,瞬间,感染性心内膜炎又成了MTD团队的专家们必须考虑的诊断,然而尽管CT检查未能发现主动脉夹层,但这诊断始终在专家们心中挥之不去!

图2. 多重影像手段确认右冠开口受压
二、多器官受损,命悬一线,是药物保守还是开胸一搏?
刚经历急性心梗打击的患者出现发热、肾功能损伤、急性脑梗、主动脉瓣返流明显加重,导致患者重度心衰、呼吸困难、难以平卧。由于患者病情复杂,文献报道如不尽早手术,其短期死亡率几乎100%。医院MDT团队细致讨论后决断如继续保守治疗患者必死无疑,开胸手术或许还有一线生机。但该患者PCI术后常规服用抗血小板药物,如何控制手术出血是一大难题,同时,患者心功能受到心梗、主动脉瓣返流及感染的打击后持续恶化,手术风险极高。向病人和家属充分告知病情及手术风险获得手术同意后,外科团队仔细制定了手术方案和紧急情况预案。
三、“金刀奖”得主主刀,“一站式”手术发威,既拨云见雾明诊断,又勇从死神手中夺生命
手术由“金刀奖”获得者、湘雅名医周新民教授主刀。周新民教授是中南大学湘雅二医院一级主任医师,博士生导师,也是湘雅二医院原心外科主任。周教授脚踏实地30余年辛勤耕耘在临床、教学、科研的第一线,在瓣膜外科、冠心病外科以及大血管疾病外科等领域独占鳌头。在国内,他较早地开展了瓣膜病合并房颤的外科治疗、心脏跳动下的冠脉搭桥、Hybrid(杂交)技术治疗A型主动脉夹层等高新技术,使患者生存率明显提高,获得了众多同行的高度肯定。他主持开展的临床心肺联合移植取得了良好疗效,创造了亚洲生存时间最长、生活质量最好的记录,至今无人打破。
面对这样一个病情复杂危重的患者,周教授带领团队临危不乱,有条不紊的处理了各种突发情况,为患者进行了体外循环支持下开胸手术,开胸后直视下果然验证了MDT专家们一直没有放弃的诊断,右冠状动脉开口下缘有一道约2厘米长的裂口并累及瓣叶,而上翘的内膜片刚好压迫到右冠开口。原来正是这片小小的内膜片压迫了冠脉开口闯下危及生命的天下大祸,也给超声医生挖了个“大坑”误判之为感染性心内膜炎的赘生物形成,周教授当即果断决定切除此“赘生物”并送病理检查及细菌培养。然而更让在场的所有人都想不到的是,周新民做了一个更大胆的决定,他坚定认为患者如此危重情况绝不过可能承受数次大手术的打击,他果断决定将冠脉搭桥、主动脉瓣生物瓣置换和升主动脉置换(Bentall手术)以“一站式”完成。而接下来手术中面对组织脆弱缝针难,创面广泛渗血止血难等多道难关周教授率领的手术团队均从容应对,一一化解,足显艺高者人胆大!而术后心衰、感染、出血等重重困难,也在医院医护团队的精心救治下各个击破,化险为夷。
.png)
图3. 外科手术直视可见右冠开口下缘主动脉内膜片撕裂
四、诊疗过程再回首的几点感触
患者目前随访1年恢复状态良好,凭心而论此次该病例能在ESC国际心血管大会进行报告展示并不让人意外。它是百年湘雅扎实临床功底与敢闯禁区的创新精神的集中体现,也充分展示了湘雅二医院心血管MDT的高水平诊疗,心外科专家的手术技术水平也得到了参会专家的高度赞扬。整个救治过程悬疑与陷阱丛生,一波三折,湘雅二医院专家抽丝剥茧,最终一锤定音,一剑封喉。在刚刚召开的中国心脏大会(CHC)上发布的全球及中国国内心血管科排名榜上湘雅二院分别位居43和13名,果然是名不虚传实至名归。同时不禁感慨无限的是培养一名像周新民教授这样具有睿智的临床决断力和高超的技术水平的外科名医是多么的不易,又是多么的宝贵。
此外,该病例首次通过多种影像及外科开胸直视下证实了主动脉窦单纯内膜片撕裂(一种鲜见报导的特殊类型的主动脉夹脉)导致右冠状动脉开口受压从而引发心梗。这拓宽了人们对于急性主动脉夹层发生过程及主动脉夹层导致心梗的认知,对胸痛综合征临床诊疗提供了宝贵经验。
专家简介

周胜华
教授,中南大学湘雅二医院,教授、博士生导师,中南大学湘雅名医,中南大学一级主任医师。“国之名医·优秀风范”奖获得者。中华医学会心血管病学专业委员会常务委员兼副秘书长、中国医师协会心血管内科医师分会副会长、中国医师协会心力衰竭分会副会长、湖南省医学会心血管病学专业委员会主任委员。卫生部有突出贡献中青年专家、“卫生部优秀青年科技人才”、国家心血管病介入诊疗质量控制专家、国家心血管病中心专家委员会委员,湖南省心血管医院(中心)主任,心血管代谢医学湖南省重点实验室主任。
《Journal of Interventional Cardiology》Section Editor、《Circulation(中文版)》、《中华医学杂志英文版》、《中华心律失常学杂志》、《中国心脏起搏与心电生理杂志》、《中国介入心脏病学杂志》等杂志编委。《中华心力衰竭与心肌病杂志》副主编,《柳叶刀》杂志特邀审稿人,高等教育出版社《内科学》统编教材主编并获首届全国教材建设奖二等奖,国家级精品课程《内科学》视频公开课负责人,参编英文《介入心脏病学专著》3部;近年以通讯作者在《Circulation Research》、《JAMA Network Open》、《American Journal of Cardiology》、《J Mol Cell Cardiol》、《European Heart Journal Open》、《J Adv Res》、《Heart Rhythm》等杂志发表SCI 论文近百余篇;2021年主持国家自然科学基金原创探索计划项目1项;主持国家自然科学基金面上项目4 项、美国中华医学基金会项目1 项、中华医学会临床研究专项基金1项、卫生部重点部属医院临床学科重点项目1项;获湖南省部级科技进步奖二等奖8项;2021年获湖南省首批技术攻关“揭榜挂帅”项目;国际首创肥厚型梗阻性心肌病无创精准放疗获发明专利多项。
我要留言