一、病史资料
患者女,60岁,身高152cm,体重53kg,农民,2021
◆主诉:喘气6年,心悸1年。
◆现病史:2015 年开始患者出现劳力性喘气,我院诊断为“风湿性心脏病,二尖瓣关闭不全,心房颤动”,行二尖瓣机械瓣置换(MVR)+三尖瓣成形(TVP)+MAZE术,术后坚持服用“华法林”。2020年开始出现心悸,自觉心跳快且乱,无头晕、黑朦、晕厥等症状,多次外院行心电图提示“心房颤动”,发作频次逐渐增多。
◆既往史:1986 年曾行输卵管结扎手术。
◆个人史:否认烟酒嗜好,无特殊药物应用史。.
◆婚育史:已婚已育,顺产2次。
◆家族史:否认家族遗传性及传染性疾病。
◆体格检查:体温36.3℃,脉搏93次/分,呼吸19次/分,血压97/60 mmHg。神志清楚。颈软,颈静脉无怒张,甲状腺未触及肿大。双肺听诊呼吸音清晰,未闻及干、湿啰音。心界无扩大,心率112次/分,律绝对不齐,各瓣膜听诊区未闻及杂音。腹平软,无压痛及反跳痛,肝脾肋缘下未触及,肠鸣音正常。双下肢无水肿。生理反射存在,病理反射未引出。
◆入院初步检查:N末端B型利钠肽(NT-proBNP)77 pg/ml;国际标准化比值(INR)2.39。血常规、电解质、肝肾功能、甲状腺功能正常范围;D-二聚体、肌钙蛋白I在正常范围。
心电图示心房颤动伴快速心室反应,ST-T改变(图1)。X线胸片示双肺未见实变,双膈光整,心影正常。
(5).png)
(心房颤动:不规则F波快速发生,频率> 350次/分,R间期不匀齐,心室率133次/分,个别QRS呈类右束支阻滞波形,考虑阿斯曼现象,ST:Ⅱ、Ⅲ、aVF、V2~V6导联水平型压低约0.05 mV,T:Ⅱ、Ⅲ、aVF、V2~V6导联双向)
◆入院超声心动图:二尖瓣置换+三尖瓣成形术后:人工瓣功能未见明显异常(图2)。
(4).png)
二尖瓣为人工瓣,瓣体呈金属强回声,未见明显瓣周漏。三尖瓣轻度反流。左心室舒张末内径(LVEDD)4.7cm,左心室射血分数(LVEF)56%
◆头部CT:双侧基底节区多发腔隙性脑梗死。
◆冠状动脉CTA:冠状动脉未见斑块及狭窄,左前降支中段心肌桥。
◆初步诊断:①心律失常,心房颤动;②风湿性心脏病,二尖瓣机械瓣置换状态,三尖瓣成形术后,房颤外科消融术后。
二、病情变化
入院后予以华法林抗凝、埃索美拉唑肠溶片抑酸、美托洛尔控制心室率,考虑患者心房颤动发作频繁,与患者及其家属沟通后在全身麻醉下行房颤射频消融术(CARTO)。术前穿刺右侧颈内静脉及右侧桡动脉置管,术中穿刺左锁骨下静脉及右股静脉置管,行Marshall静脉酒精消融阻断二尖瓣环峡部线,左、右上肺静脉及左、右下肺静脉隔离,后壁box消融、二尖瓣峡部、上腔静脉电位隔离。术后送入CCU,全身麻醉醒后常规拔除气管插管并转回病房。
术后第1天开始感胸闷、喘气不适,伴呼吸困难,平卧位时明显,站立或步行时好转,无咳嗽、咳痰、发热等症状,且胸闷、喘气症状逐渐加重。查体:体温36.4℃,脉搏65次/分,呼吸18次/分,血压110/70 mmHg,血氧饱和度99%,肺部叩诊浊音,左侧呼吸音正常,右下肺呼吸音低,双肺未闻及干、湿啰音。心界无扩大,心率65次/分,律齐,各瓣膜听诊区未闻及杂音。腹部平软,无压痛及反跳痛,肝脾肋缘下未触及,肠鸣音正常。双下肢无水肿。复查NT-proBNP 336.40 pg/ml;血常规:白细胞计数10x109/L,中性粒细胞计数8.8x109/L,血红蛋白110 g/L。复查心电图:窦性心律,前壁导联T波低平。
三、诊断思路
病史小结
①老年女性,慢性病程。②既往有二尖瓣置换+三尖瓣成形+MAZE手术史。③因心房颤动行全身麻醉下导管射频消融术。④术后出现胸闷、喘气症状,与体位相关。⑤体格检查肺部叩诊浊音,左侧呼吸音正常,右下肺呼吸音低,双肺未闻及干、湿啰音;血常规可见白细胞计数及中性粒细胞百分比稍高,血红蛋白无明显改变。患者胸闷、喘气原因需进一步鉴别。
鉴别诊断
1、肺部感染
患者手术在全身麻醉下进行,术中行气管插管及呼吸机辅助,血常规提示白细胞及中性粒细胞升高。但是患者呼吸机辅助时间短,且无发热、咳嗽咳痰等症状,心率不快,肺部未闻及啰音,考虑肺部感染可能性不大。可进一步查肺部CT、降钙素原等予以排除。
2、心力衰竭
患者有心脏瓣膜病基础,喘气平卧位时加重,同时围手术期存在大量补液情况,需考虑。但患者的体力活动无明显限制,步行并不诱发喘气,且单侧呼吸音减低,无明显湿啰音,NT-proBNP 正常,可能性较小。
3、血气胸
患者围手术期进行多个部位的穿刺操作,且术中及术后肝素、口服抗凝药物的使用,右侧呼吸音减低,需考虑血气胸的可能。但患者血红蛋白未见明显下降,氧饱和度正常,可能性不大,可行X线胸片或胸部CT进一步明确。
4、心脏压塞
房颤消融术中需穿刺房间隔,同时在左心房内大范围消融处理,心脏压塞为其重要并发症。该患者心率、血压正常范围,无典型Beck三联征的表现,暂不支持,可行心包彩超进一步明确。行心包彩超结果:心包腔未见积液,患者呼吸困难不考虑心脏压塞。
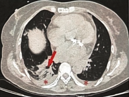
患者行胸部CT(图3)显示右肺下叶节段性膨胀不全,未见气胸表现,同时可见双侧胸腔少量积液,心影增大不明显,暂排除肺部感染、气胸、心力衰竭疾病,X线胸片(图4)提示右侧膈肌上抬,透视检查可见右侧膈肌抬高,运动幅度明显减弱(图5)。常见引起膈肌抬高的常见原因有:①肝脏占位、脓肿;②肺不张引起肺容积缩小;③膈肌麻痹。结合此患者房颤消融史,考虑可能为房颤射频消融术引起了膈神经损伤,然后出现了膈肌麻痹。
(4).png)
(5).png)
(4).png)
最终诊断
①心律失常,心房颤动,膈神经损伤,心脏消融术后,②风湿性心脏病,二尖瓣机械瓣置换状态,三尖瓣成形术后。
四、病例总结
心房颤动是最常见的心律失常之一,其患病率、发病率随着年龄增长而逐增,而全球老龄化进一步增加,人均寿命不断延长,再加上房颤还会明显增加脑卒中及心力衰竭的风险,房颤已成为影响人类健康的主要问题之一。近年来房颤的治疗取得了一些重大进展,尤其随着标测系统及导管设计的改进,房颤导管消融的地位更加凸显。
膈神经损伤是房颤消融的少见但不容忽视的重要并发症,各种消融手段均能引起膈神经损伤,其发生率为0.1%~0.5%。膈神经损伤的发生与术者对膈神经的走行及毗邻解剖结构的熟悉程度有很大关系,虽然高达31%的膈神经损伤患者在房颤消融后可能没有症状,但呼吸困难是一个主要症状,所有有症状的患者都会出现呼吸困难,其他症状包括咳嗽和呃逆。膈神经损伤多为暂时的,术后可逐渐恢复,但仍有0.3%的患者会有膈神经功能障碍。房颤导管消融术后膈神经损伤主要见于冷冻消融右上肺静脉。与冷冻球囊消融相反,房颤导管射频消融术尤其采用环肺静脉线性消融(wide area circular ablation,WACA),很少引起膈神经损伤。膈神经损伤通常与上腔静脉消融或右侧肺静脉内的节段性消融隔离相关。
正常生理解剖下,右侧膈神经从颈丛发出之后,沿着上腔静脉、右心房走行,最后分布于右侧膈肌,其与上腔静脉和右上肺静脉毗邻。有研究表明不同的解剖结构是引起术后膈神经损伤的主要原因,而不是由于过度消融引起。
房颤消融术中若在上腔静脉处消融,可能引起膈神经损伤。膈神经损伤后可导致膈肌的反常运动,即吸气时健侧膈肌下降,导致腹压增高压迫患侧膈肌,同时吸气时胸内负压,二者均可使吸气时患侧膈肌抬高,使得肺张力受限,严重时甚至患侧肺内的气体窜向健侧,从而出现喘气等症状。
我院房颤导管消融术在全身麻醉下进行,在消融上腔静脉时会提前进行膈神经起搏,寻找膈神经的位置并在三位解剖图上做好标记,但由于射频消融能量存在延迟损伤的效果,在术后仍有可能出现迟发的膈神经损伤。此患者术后出现喘气的症状,术后复查X线胸片可见右侧膈肌明显抬高,考虑为膈神经损伤引起的膈肌麻痹,患者平卧位时膈肌抬高更明显,会加重喘气的症状,站立位时膈肌下移,喘气症状可有缓解。
因此,我们在房颤导管消融术中应采取诸如消融时避开膈神经走行,减少消融的能量输出等来降低膈神经损伤的发生率。术后一旦出现呼吸困难,单侧呼吸音减弱(最常见是右侧)应高度疑似膈神经损伤,需要早期通过X线胸片或透视来确诊。膈神经损伤目前没有循证医学证据充分的治疗方法,部分文献报道可以使用皮质激素降低炎症反应,大部分膈神经的功能在随访期间能够自行恢复,若膈神经功能持续不恢复,且伴有严重的呼吸困难,有报道通过刺激膈神经或膈肌成形的方式改善患者的通气功能。
五、经验总结
膈神经损伤是房颤消融术后一个少见的并发症,多表现为喘气,无发热、咳嗽等症状。对于房颤消融术后出现喘气,合并右侧呼吸音减低的患者,除考虑心力衰竭、肺部感染、血气胸、肺静脉狭窄等常见原因,要高度怀疑右侧膈神经损伤的可能。应及时行X线胸片或胸部透视检查大多可以明确诊断。
参考文献:
[1] Yong Ji S, Dewire J, Barcelon B, et al. Phrenic nerve injury: An underrecognized and potentially preventable complication of pulmonary vein isolation using a wide-area circumferential ablation approach[J]. J Cardiovasc Electrophysiol, 2013, 24(10): 1086-1091
[2] Mears JA, Lachman N, Christensen K,et al.The Phrenic Nerve And Atrial Fibrillation Ablation Procedures[J]. J Atr Fibrillation, 2009, 2(1): 176
[3] Sacher F, Jais P, Stephenson K, et al. Phrenic nerve injury after catheter ablation of atrial fibrillation[J].Indian Pacing Electrophysiol J, 2007, 7(1): 1-6
[4] Kowalski M, Ellenbogen KA, Koneru JN. Prevention of phrenic nerve injury during interventional electrophysiologic procedures[J]. Heart Rhythm, 2014, 11(10): 1839-1844
我要留言