一、病史资料
患者男,64岁,身高170cm,体重74 kg,退休工人,2018年4月28日入院。
◇主诉:间断发热、胸痛1周,伴咳嗽2天。
◇现病史:患者1周前受凉后间断发热,最高体温39℃,伴胸痛,位于胸前区,为闷痛,每次持续时间约30分钟,活动时胸痛加重,休息后胸痛可以缓解。近2天来出现咳嗽、咳痰,咳白色黏液痰,无咯血、喘气、呼吸困难、心悸、晕厥。
◇既往史:主动脉瓣狭窄病史。
家族史:无特殊。
◇体格检查:体温38.1℃,脉搏76次/分,呼吸频率20次/分,血压102/74 mmHg,神志清楚,发热面容,咽部无充血,扁桃体无肿大,浅表淋巴结无肿大,颈静脉无怒张。双肺呼吸音清晰,未闻及干、湿啰音;心率76次/分,律齐,主动脉瓣第一、二听诊区可闻及3/6级收缩期喷射性杂音,向颈部传导;腹软,无压痛、反跳痛,肝脾无肿大,双肾区无叩击痛,双下肢无水肿。
◇辅助检查:血常规:白细胞计数11.08x109/L,中性粒细胞百分率78.95%,红细胞计数3.225x109/L,血红蛋白103.9g/L,血小板计数353.2x109/L;红细胞沉降率(ESR)97 mm/h;超敏C反应蛋白(CRP)110 mg/L;肌钙蛋白I(CTnI)0.048 ng/ml;肝、肾功能、电解质、血糖、血脂、凝血常规、风湿免疫全套、男性肿瘤标志物均正常;3次不同部位采血行血培养均阴性。肺部X线:肺纹理重,肺内未见明确实变。
◇心电图提示:窦性心律,室内传导延迟(图1)。
.png)
图1 患者入院心电图
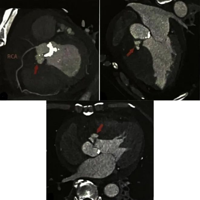
冠状动脉CTA (图2)显示右冠状动脉起源走行正常,未见狭窄;左冠状动脉正常,未见狭窄。主动脉瓣增厚、钙化,主动脉瓣环右前下方可见一个局限性造影剂池凸起。

图2 冠状动脉CTA
◇急诊床旁超声心动图:左心室舒张末期内径(LVEDD)5.4cm,左心室射血分数(LVEF)52%,主心动脉瓣可见团块状钙化,主动脉瓣口面积0.9 cm2,主动脉瓣血流速度4.4 m/s,跨瓣压差79 mmHg,提示主动脉瓣重度狭窄并轻度关闭不全,右冠瓣根部前方可见局限性瘤体形成,考虑为主动脉瓣周脓肿可能。
◇初步诊断:①感染性心内膜炎,主动脉瓣周脓肿;②心脏瓣膜病,主动脉瓣重度狭窄并轻度关闭不全。
二、诊断思路
◇病史小结:①老年男性,急性病程;②既往有主动脉瓣狭窄病史,临床上主要表现为发热、胸痛,③体温38.1℃,发热面容,主动脉瓣第一、二听诊区闻及3/6级收缩期喷射性杂音,向颈部传导;④血常规可见白细胞计数升高;红细胞沉降率、超敏C反应蛋白升高;⑤超声心动图提示主动脉瓣重度狭窄并轻度关闭不全,主动脉瓣周脓肿可能;⑥冠状动脉CTA可见主动脉瓣周脓肿。综上所述,依据感染性心内膜炎诊断的改良Duke标准,考虑患者疑似诊断感染性心内膜炎。
◇病情变化:患者入院后给予头孢哌酮舒巴坦、莫西沙星抗感染、呋塞米利尿、改善心功能等治疗,患者发热、胸痛等症状明显好转,由于患者在入院早期未出现心力衰竭、未能控制的感染及重要脏器栓塞等事件,拟充分抗感染后等待择期外科手术治疗。
入院第13天凌晨患者再次诉胸闷,伴晕厥,心电监护示三度房室传导阻滞,急诊行临时起搏器置入术,查心电图示:窦性心律,三度房室传导阻滞,交界性逸搏心律,右束支阻滞,下壁等位性Q波,ST-T改变。查肌钙蛋白I升高至5.821 ng/ml。
鉴别诊断:
◇1、急性心肌梗死的可能病因
①该患者入院冠状动脉CTA未见明显冠状动脉病变,考虑冠状动脉粥样斑块破裂、侵蚀导致的急性心肌梗死可能性不大。②本例患者需要鉴别细菌栓塞右冠状动脉或者细菌侵袭右冠状动脉导致的急性心肌梗死。③本例患者不能排除在主动脉瓣周脓肿基础上合并冠状动脉痉挛导致的急性心肌梗死。
◇2、急性心肌炎
最常见为病毒感染,多数患者发病前1~3周有病毒感染,症状如发热、肌肉酸痛、心悸、胸痛,心电图常见心律失常,磁共振可见心肌水肿,心内膜心肌活检可确诊。该患者血常规提示细菌感染,心脏彩超可见主动脉瓣周脓肿,心脏CTA未见明显的心肌浸润性病变,因此考虑急性心肌炎的可能性不大。
◇3、急性化脓性心包炎
主要临床症状为高热、寒战、心前区疼痛、心悸、气短、不能平卧,心尖搏动减弱或消失,心独音界向两侧扩大,心音弱而遥远,在早期可闻及心包摩擦音,心电图各导联QRS波呈现低电压。该患者心脏彩超未见明显的心包积液,考虑可能性不大。
◇诊疗经过:患者入院第22天复查冠状动脉CTA示:右冠窦旁、右侧房室沟见巨大对比剂池,大小45 mmx46 mmx59 mm,较前明显增大,脓肿与主动脉窦部见3 mm的交通口。左主干、前降支、回旋支表现同前,右冠状动脉开口至中段受脓肿压迫而未见显影(图3)。

图3 患者发生心肌梗死后夏査冠状功脉 CTA结果
入院第23天患者在全身麻醉下行主动脉瓣周脓肿清除术+带瓣管道主动脉瓣和升主动脉置换术(Bentall)+冠状动脉旁路移植术。术中见主动脉根部近右房处局部隆起,张力高,右冠窦水肿明显,窦壁破溃,与主动脉根部脓腔相通,右冠状动脉开口及近段水肿明显、受压迫闭塞,主动脉瓣重度狭窄,瓣叶明显钙化并局部破溃。主动脉瓣组织碾碎后行细菌培养:玫瑰色库克菌(β-内酰胺酶阴性)。术后用哌拉西林他唑巴坦+替考拉宁抗感染治疗,术后第12天复查超声心动图:左心室舒张末期内径(LVEDD)4.9 cm,左心室射血分数(LVEF)50%,主动脉瓣血流速度2.2 m/s,跨瓣压差20 mmHg,带瓣人工管道功能未见异常,心包腔少量积液。患者于术后第15天康复出院。出院后随访4年,无病情复发。
◇最终诊断:①感染性心内膜炎,主动脉瓣周脓肿;②急性ST段抬高型下壁心肌梗死,三度房室传导阻滞;③心脏瓣膜病,主动脉瓣重度狭窄并轻度关闭不全。
三、病例总结与分析
主动脉瓣周脓肿是一种严重、 少见的感染性心内膜炎的并发症,预后极差,手术是唯一有效的治疗方式。本例患者为64岁,男性,因“发热、胸痛1周”入院,心脏彩超显示主动脉瓣重度狭窄,冠状动脉CTA可见主动脉瓣周脓肿,结合术后主动脉瓣培养出致病菌,该患者急性感染性心内膜炎、主动脉瓣周脓肿诊断成立。
急性冠脉综合征是感染性心内膜炎的一种少见的并发症,已有文献报道感染性心内膜炎并发急性心肌梗死发生率仅1%~3%,其病因包括冠状动脉栓子栓塞、较大的赘生物阻塞了冠状动脉开口、瓣周脓肿压迫了冠状动脉、严重的主动脉关闭不全。该患者在等待进一步外科手术期间,突然发生了急性下壁ST段拾高型心肌梗死伴三度房室传导阻滞,考虑为急性感染性心内膜炎感染加重,右冠窦壁破溃,与主动脉根部脓腔相通,导致主动脉瓣周脓肿的压力增高和体积增大,右冠状动脉开口及近段水肿明显、受压迫闭塞,导致了急性下壁心肌梗死。
本病例通过两次冠状动脉CTA明确显示了主动脉窦脓肿的病变范围、形态、大小的变化,以及与主动脉窦、右心房、右冠状动脉的结构关系,明确了突发急性心肌梗死的原因,指导了手术方案的制订。该患者经外科手术治疗后病情好转出院,随访4年病情稳定,说明心脏CTA在感染性心内膜炎合并瓣周脓肿的诊断中有较好的临床应用价值。
四、经验总结
主动脉瓣周脓肿是一种严重的、少见的感染性心内膜炎的并发症,预后极差,及早手术治疗是唯一有效的治疗方式。心脏CTA在瓣周脓肿的诊断中有较好的临床应用价值,可避免导管相关操作导致的赘生物脱落和冠状动脉栓塞。瓣周脓肿患者的病情出现突然变化时,应该及时复查心脏CTA,了解脓肿的病变范围、形态、大小的变化,以及与邻近组织的结构关系。多次、多部位采血的血培养阴性时,可以考虑用手术切除的病变组织碾碎后行细菌培养,提高病原微生物的检出率,指导抗感染治疗。
END
参考文献:
[1] Baddour LM, Wilson WR, Bayer AS, et al. Infective Endocarditis in Adults: Diagnosis, Antimicrobial Therapy, and Management of Complications[J]. Circulation, 2015, 132(15): 1435-1486
[2] Pettersson GB, Coselli JS, Hussain ST, et al. 2016 The American Association for Thoracic Surgery(AATS) consensus guidelines: Surgical treatment of infective endocarditis: Executive summary[J]. J Thorac Cardiovasc Surg, 2017, 153(6): 1241-1258
[3]Manzano MC, Vilacosta I, Román JAS, et al. Acute Coronary Syndrome in Infective Endocarditis[J].Rev Esp Cardiol, 2007, 60(1): 24-31
[4] Fagman E, errotta S, Bech-Hanssen o, et al. ECG-gated computed tomography: a new role for patients with suspected aortic prosthetic valve endocarditis[J]. Eur Radiol, 2012, 22(11): 2407-2414
[5] Feuchtner GM, Stolzmann P, Dichtl W, et al. Multislice computed tomography in infective endocarditis:comparison with transesophageal echocardiography and intraoperative findings[J]. J Am Coll Cardiol,2009, 53(5): 436-444
[6]Habib G, Lancellotti P, Antunes MJ, et al. 2015 ESC Guidelines for the management of infective endocarditis[J]. Eur Heart J, 2015, 36(44): 3075-3128

声明:本文仅供医疗卫生专业人士了解最新医药资讯参考使用,不代表本平台观点。该信息不能以任何方式取代专业的医疗指导,也不应被视为诊疗建议,如果该信息被用于资讯以外的目的,本站及作者不承担相关责任。
我要留言